+49 961 5022  Sedanstraße 8, Weiden

Bei uns stehen Sie noch als Patient im Vordergrund - nicht die Wirtschaftlichkeit einer Behandlung, sondern Ihre Zufriedenheit ist uns wichtig.

Professionelle Zahnreinigung

„Gesundheit für Ihre Zähne und Ihr Zahnfleisch„ durch eine professionelle Reinigung (PZR).

Bakterien im Biofilm auf und zwischen den Zähnen sind der nachgewiesene Auslöser für Karies und Parodontitis. Eine PZR beseitigt neben Zahnstein auch diesen Biofilm wirkungsvoll und wir zeigen Ihnen wie sie selbst Karies und Zahnfleischentzündung vorbeugen können. Auch oberflächliche Verfärbungen z.B. durch Kaffee, Tee, Rotwein oder Rauchen werden dabei entfernt. Eine Politur und Fluoridierung aller Zähne schließt die Behandlung ab.

Je nach individuellem Risikoprofil legen wir mit Ihnen das Intervall für regelmäßige Sitzungen fest.

Die Kosten belaufen sich zwischen 50 und 70 Euro je nach Befund. Viele Zusatzversicherungen übernehmen oder beteiligen sich inzwischen an den Kosten, da es aufwendigen und kostenintensiven Behandlungen wirkungsvoll vorbeugt.

Informationen hierzu finden Sie unter www.krankenkasseninfo.de

Angstpatienten und Kinderbehandlungen

Angst- und schmerzfreie Behandlung in entspannter Praxisatmosphäre.

Jeder Mensch hat mehr oder weniger Angst vor zahnärztlichen Behandlungen. Doch gehen unangenehme und schmerzhafte Eingriffe z.B. in der Kindheit voraus , dann kann eine sog. Zahnarztphobie entstehen . Diese Angst führt dann zur Vermeidung von Zahnarztbesuchen bis desolate Gebisssituationen und Schmerzen entstehen , was wiederum die Angst noch steigert.

Dies muss nicht sein. Vertrauen Sie uns. Sie müssen nur den ersten Schritt tun !

Wir wissen wie schwer dieser Schritt fällt, aber wir nehmen uns Zeit für Sie und Ihre geplante Behandlung .

Durch unsere freundliche und lockere Praxisatmosphäre und mit viel Einfühlungsvermögen und Geduld bauen wir Ihre Ängste ab und erklären Ihnen ausführlich die jeweils erforderlichen Behandlungsschritte. Wir sorgen vor allem für eine schonende, schmerzfreie Betäubungsmethode und Behandlung und Sie bestimmen auch das Tempo unserer Behandlung .

Kommen Sie also unverkrampft zum Kennenlernen in unsere Praxis und überzeugen Sie sich selbst davon.

Wenn Sie dann den Schritt einmal geschafft haben, werden Sie gewiss stolz auf sich sein und kommen bestimmt gerne wieder .

Composite Füllungen

Heute werden in der Zahnheilkunde vornehmlich zahnfarbene Kunststofffüllungen (Composite ) verwendet und auch gewünscht. Mit Ihnen sind sehr schöne, ästhetische Ergebnisse und dank der Klebe- und Mehrschichttechnik auch eine optimale Randdichtigkeit und damit Langlebigkeit von Füllungen zu erzielen.

Bei Comp0site-Füllungen im Seitenzahnbereich entstehen Zusatzkosten je nach Größe zwischen 50 und 100 Euro , die inzwischen auch von vielen Zusatzversicherungen bezuschusst werden (www.krankenkasseninfo.de ). Bei nachweislicher Allergie gegen Quecksilber oder bei Niereninsuffizienz bekommen Sie die Kosten sogar komplett von der gesetzlichen Krankenkasse bezahlt.

Daneben bieten wir aber nach wie vor auch Amalgamfüllungen auf Wunsch oder aus Kostengründen an , falls keine medizinischen Kontraindikationen, wie Schwangerschaft, Metallallergien oder Niereninsuffizienz, dem entgegenstehen.

Inlays

Eines unserer Spezialitäten sind exakt gefertigte Inlays, vornehmlich in Kunststoff, daneben auch in Keramik oder Bio-Goldlegierungen je nach Indikation.

Ausgedehnte Zahndefekte machen eine Rekonstruktion mittels Inlays erforderlich. Dies sind nach einer Abformung im Labor hergestellte große Füllungen, die dann in einer zweiten Behandlungssitzung eingesetzt werden. Dabei sind heute zahnfarbene Kunststoffinlays in der Kaustabilität und Langlebigkeit mit den bewährten Goldinlays durchaus vergleichbar und erlauben insbesondere ein ästhetisches Maximum bei der Wiederherstellung von Seitenzähnen. Der kostenfreie Service unseres Labors beinhaltet eine individuelle Farbauswahl am Behandlungsstuhl mittels Fotos um möglichst exakte Farbergebnisse zu erzielen. ( www.dental-technik-hartwich.de). Sie werden überrascht sein wie naturgetreu natürliche Zähne damit wiederhergestellt werden können.

Veneers

Veneers sind dünne auf die Oberfläche von Schneidezähnen aufgeklebte Keramikschalen, die z.B. stark plombierte Zähne wieder natürlich schön aussehen lassen können , Verfärbungen abdecken, und  auch bei Zahnformanomalien ( zu kleine oder dysmorphe Zähne ) eine harmonische Zahnkontur ermöglichen. Sie werden vom Zahntechniker nach Abdrucknahme und nach ganz genauer Farbbestimmung mittels Fotos angefertigt und dann vom Zahnarzt mittels Klebetechnik fest aufgeklebt. Mit Ihnen lassen sich optimale Zahnformen und –farben herstellen und normales Abbeißen und Kauen erzielen .

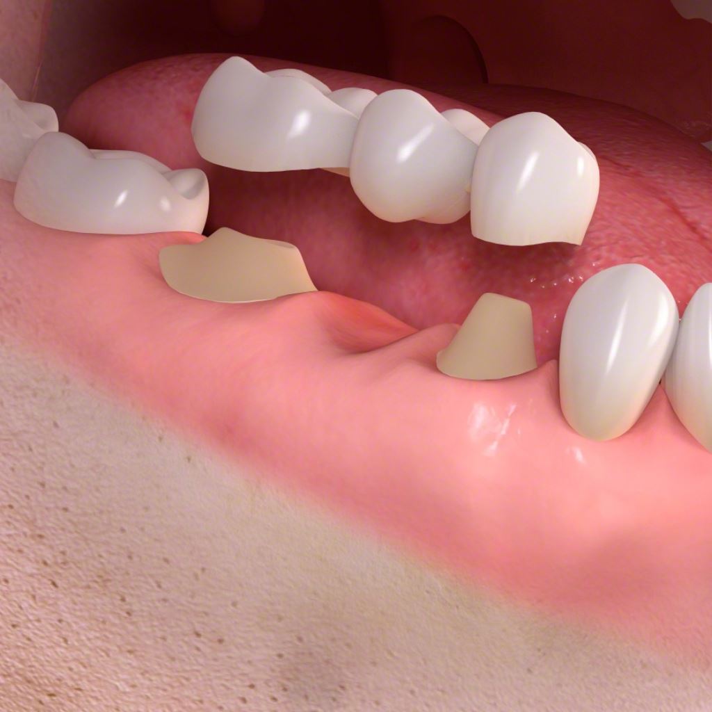
Kronen / Brücken / Prothesen

Wir bieten hochwertigen Zahnersatz jeglicher Art.

Dabei können Sie sich auf unsere Praxiserfahrung seit über 20 Jahren verlassen; und wir auf die Kompetenz und Zusammenarbeit mit unserem bewährten Dentallabor ( www.dental-technik-hartwich.de). Auf Wunsch lassen wir auch in anderen Laboren arbeiten, wenn Sie damit gute Erfahrungen gemacht haben.

Je nach Befund und individuellen Gegebenheiten und Wünschen fertigen wir alles um Sie zu einem zufriedenen Patienten zu machen. Wir zeigen Ihnen die verschiedenen Möglichkeiten an Zahnersatz incl. Kosten auf und beraten Sie gerne .

Sie entscheiden , was Sie wünschen.

Sei es Kronen und Brücken in metallfreier ,hochfester Vollkeramik, Metallkeramik oder Vollguß in Metall , Implantat getragener Zahnersatz , Teleskopprothesen, Teil- oder Vollprothesen , Kombinationszahnersatz u.v.m. .

Hochwertiger Zahnersatz ist Präzisionsarbeit und auch kostenintensiv. Vor Behandlungsbeginn bitten wir daher für die Begleichung Ihrer Laborrechung um Anzahlung in Höhe der geschätzten Laborkosten. Am Ende der Behandlung bieten wir Ihnen auf Wunsch auch Ratenzahlungen für den Restbetrag des Honorars an.

Um einen möglichst hohen Festzuschuß von der Krankenkasse erstattet zu bekommen und den Eigenkostenanteil so niedrig wie möglich zu halten , ist es unbedingt ratsam das Bonusheft mit den jährlichen Kontrolluntersuchungen gewissenhaft zu führen. Wir bieten Ihnen daher unseren Recallservice an, damit Sie nichts vergessen.

Zudem ist es in den meisten Fällen heute sinnvoll eine private Zahnzusatzversicherung abzuschließen; wir bieten Ihnen hierzu gerne unseren zahnärztlichen Rat an. Wenn ja , fragen Sie zuerst bei Ihrer gesetzlichen Krankenkasse nach und informieren Sie sich darüber hinaus über mögliche Alternativen im Internet (www.krankenkasseninfo.de , www.waizmanntabelle.de ).

Implantate

Implantate sind heute die fortschrittlichste Behandlungsmethode um Kaukomfort , Kaufunktion und natürliches Aussehen wiederherzustellen. Sie übernehmen die Funktion von natürlichen Zahnwurzeln; Implantate werden in den Kiefer eingepflanzt und übertragen die Kaukräfte auf den Knochen und erhalten diesen stabil und gesund .

Darauf fest verankerte Zähne vermitteln Ihnen das Gefühl eigener Zähne. Sie fühlen sich an wie Natürliche, sitzen fest und fügen sich harmonisch in die individuelle Zahnumgebung ein. Durch Implantate lässt sich heute so herausnehmbarer Prothesenzahnersatz in den meisten Fällen vermeiden.

Selbst bei totalem Zahnverlust oder nur noch wenigen Restzähnen können mittels Implantate in vielen Fällen ästhetisch schöne und festsitzende Prothesen sicher verankert werden.

Wir verwenden die führenden Systeme , Implantate von der Fa. Straumann (www.straumann.de), und der Fa. Astra-Dentsply (www.dentsplyimplants.de) und der Fa. Camlog (www.camlog.de).

Alternativ bei Allergien gegen Metalle , aus ästhetischen Gründen im Frontzahnbereich oder auch auf Wunsch bieten wir die Option Vollkeramik-Implantate (www.straumann.de) einzusetzen , die ebenso schnell und gut einheilen wie Titanimplantate .

Knochenaufbau

Gehen Zähne verloren, baut der Körper den nicht mehr belasteten Kieferknochen ab. Voraussetzung für eine Implantation ist allerdings ein ausreichendes Knochenangebot. Fehlen daher Zähne muss meist zuerst oder gleichzeitig mit der Implantation Knochen operativ aufgebaut werden.

Dies ist z.B. mit Eigenknochen möglich oder auch mit bewährtem Fremdknochen und Membranen, wie z.B BioOss und BioGide von der Fa. Geistlich (http://www.geistlich.de/de/)

Unter günstigen Voraussetzungen ist es heute manchmal auch möglich den eigenen Knochen zu erhalten oder sogar zu vermehren ohne große operative Eingriffe und ohne Einbringen von Fremdmaterial. Diese Methode , das sog. TissueMaster Konzept TMC , mit Biologischem Gewebemanagment durch gezielte und gelenkte Knochenregeneration wurde von Dr. Stefan Neumeyer entwickelt und ist heute eine interessante Alternative zum operativen Knochenaufbau.

Wir beraten Sie dazu gerne im Einzelfall.

Implantate und Knochenaufbauten sind Privatleistungen und werden von Privaten Versicherungen, Zusatzversicherungen und auch der Beihilfe unterschiedlich bezuschusst. Eine Abklärung über Zuzahlungen der jeweiligen Kostenträger anhand von Heil-und Kostenplänen ist daher vor Behandlungsbeginn sinnvoll.

Parodontitistherapie

Die Parodontitis (allgemeinhin als Parodontose bezeichnet) ist noch vor Karies die häufigste Erkrankung im Mundbereich. Auslöser sind ein Gemisch an Bakterien, die in Schlupfwinkeln wie z.B. den Zahnzwischenräumen und Zahnfleischtaschen sich vermehren und anfangs zu Zahnfleischbluten, Mundgeruch und verstärkter Empfindlichkeit der Zähne führen; wird die Parodontitis nicht rechtzeitig erkannt oder behandelt, führt sie zum Abbau des Zahnhalteapparates mit Zahnlockerung bis hin zum Zahnausfall .

Diese fortschreitende Erkrankung gilt es je nach Schweregrad zu behandeln.

Initialtherapie

Oftmals genügt es schon allein durch eine regelmäßige professionelle Zahnreinigung und Erläuterung der individuellen Zahnpflegegewohnheiten die Erkrankung zu stoppen und Risikofaktoren wie Rauchen oder medizinische (Vor-) Erkrankungen, wie Diabetes, Bluthochdruck oder Medikamenteneinnahme, zu erkennen und zu behandeln.

Behandlung mit Kürettage

Die leichte bis mittelschwere Parodontitis lässt sich sehr gut behandeln. Die geschlossene Kürettage ist hier die Standardmethode, deren Kosten auch von den gesetzlichen Krankenkassen übernommen werden.

Eine schonende und effektive Methode ist heute dabei auch der Einsatz von Ultraschall .

Unterstützend kommen Antibiotikakombinationen zum Einsatz oder alternativ bei Allergien, Unverträglichkeiten oder Resistenzen auch der Einsatz von Lasertechnik.

aPDT mit LASER

Unter aPDT versteht man die antimikrobielle photodynamische Therapie, die mit einem LASER-aktivierten Farbstoff nach dem PHOTOLASE-Verfahren durchgeführt wird (www.photolase.eu ).

Sie dient zur Dekontamination der Zahnwurzeloberflächen und Zahnfleischtaschen.

Die aPDT ist eine ganz neue und für den Patienten sehr angenehme, weil minimalinvasive Form der Parodontitis-Therapie.

Sie kann ohne Lokalanästhesie durchgeführt werden und ist sowohl während der Behandlung als auch danach schmerzfrei.

Regenerative Therapie

Bei fortgeschrittenen Fällen mit Knochendefekten gibt es verschiedene Methoden zur regenerativen Behandlung ausgeprägter, parodontaler Knochendefekte. Wir bieten eine Behandlung mit Schmelz-Matrix-Proteinen an. Diese Proteine ermöglichen dem Körper den natürlichen Zahnhalteapparat wieder herzustellen, indem sie die Prozesse, die während der Zahnentwicklung stattfinden, nachahmen. Das Gel mit den Schmelzmatrixproteinen wird dabei in den gereinigten, knöchernen Defekt eingebracht und regt die Wiederherstellung des Zahnhalteapparats aus Wurzelzement, Faserbündel und Knochen an; der Aufbauprozess beginnt unmittelbar nach der Behandlung und setzt sich über einen längeren Zeitraum fort.

Amalgamsanierungen

Bei Allergien gegen Schwermetalle vornehmlich Quecksilber, bei Niereninsuffizienz oder anderen allgemeinen chronischen Krankheiten, Schwermetallbelastungen und chronischen Schleimhauterkrankungen wie z.B. schmerzhaften Aphten oder Lichen ruber sind Amalgamsanierungen angezeigt. Dabei werden in mehreren Sitzungen sämtliche Amalgamfüllungen Quadranten weise unter Kofferdamm-Schutz komplett entfernt um ein Verschlucken des entfernten Amalgamschlammes zu vermeiden. Im Anschluss erfolgt eine Versorgung der Zähne entweder mit provisorischen Langzeitfüllungen oder gleich mit definitiven Füllungen. Parallel dazu ist über Ihren Hausarzt oder Homöopathen eine Ausleitungsbehandlung für Schwermetalle empfehlenswert.

Laserbehandlungen

Die Laseranwendung ist heute in der Zahnheilkunde eine nicht mehr wegzudenkende Behandlungsmethode; sie ermöglicht schnelle, schonendere , schmerzarme, blutungsfrei oder –arme Eingriffe und überzeugt immer wieder durch ihre erstaunlich schnellen und guten Heilungsergebnisse.

Seine Anwendungsmöglichkeiten sind vielfältig. So findet der Laser Einsatz in der Behandlung von Schleimhauterkrankungen, wie Aphten ,Herpes oder Geschwüren zur Schmerzlinderung und Beschleunigung der Wundheilung, Desinfektion von entzündlichen Prozessen wie entzündeten Zahnfleischtaschen, Abszess Eröffnung, Reinigung von infizierten Wurzelkanälen oder Wunden, Entfernung von Schleimhautbändern oder überschüssigem Gewebe oder auch Freilegung von Zähnen oder Präparationen vor Abdrucknahme um nur einige der Einsatzgebiete zu nennen.

Ferner führen wir auch Parodontitis Behandlungen mit Laser nach dem PHOTOLASE-Verfahren durch zur Abtötung von Keimen ohne Einsatz von Antibiotika.

Bis dato ist die Anwendung des Lasers eine nur privat auf der Grundlage der GOZ zu berechnende Behandlungsmaßnahme.

Ohrakupunktur

Die Ohrakupunktur ist eine alte Behandlungsmethode schon seit Jahrhunderten in China. Der ganze Körper ist auf der Ohrmuschel repräsentiert und damit diagnostisch und therapeutisch leicht zugänglich. Liegt eine Störung vor, ist der entsprechende Punkt auf der Ohrmuschel druckschmerzhaft. Das Besondere dabei ist, der Zugang ist unkompliziert und, da es sich um eine Reflexakupunktur handelt, der rasche Wirkungseintritt immer wieder faszinierend. Sie zeigt sehr gute Wirkung bei Erkrankungen des Bewegungsapparates , Kopfschmerzen, allgemein in der Schmerztherapie, bei Allergien, seelischen Problemen usw. Für eine Untersuchung und Behandlung mit Dauernadeln fallen für eine Zeitspanne von 10 min. Honorarkosten von 20 Euro an.

Zahnschmucksteine

Zur Verschönerung Ihres Lächelns gibt es heute als Modetrend funkelnde Zahnschmucksteine in verschiedenen Farben und Größen. Sie verleihen Ihrem Lächeln etwas Besonderes und Individuelles. Diese werden von uns auf Ihren Zähnen je nach Wunsch aufgeklebt. Wir beraten Sie dabei gerne. Die Steine haben einen flachen Brillantschliff um beim Tragen nicht an den Lippen zu stören und können auch später problemlos ohne Schaden für den Zahn wieder entfernt werden. Die Kosten betragen inclusive Zahnschmuckstein ca. 35 Euro.

Ihr Zahnarzt in Weiden

 +49 961 5022  Sedanstraße 8, Weiden

Sprechzeiten

Mo.: 7.30 - 12.30 Uhr & 14.00 - 18.00 Uhr
Di.: 7.30 - 12.30 Uhr & 14.00 - 18.00 Uhr
Mi.: 7.30 - 13.00 Uhr
Do.: 7.30 - 12.30 Uhr & 14.00 - 18.30 Uhr
Fr.: 7.30 - 13.00 Uhr

An den Wochenenden und Feiertagen übernimmt in zahnärztlichen Notfällen, der zahnärztliche Notfalldienst der KZV Bayern die Betreuung. Tel. 0941-5987923.
Auch einsehbar im Internet unter www.notdienst-zahn.de.
Bitte entnehmen Sie diese aus dem Menüpunkt AKTUELLES, der Hinweisansage unseres Anrufbeantworters oder dem Aushang am Praxiseingang.
Außerhalb unserer Sprechzeiten erreichen Sie unseren Anrufbeantworter.

Wir verwenden Cookies um unsere Website zu optimieren und Ihnen das bestmögliche Online-Erlebnis zu bieten. Mit dem Klick auf „Alle erlauben“ erklären Sie sich damit einverstanden. Weiterführende Informationen und die Möglichkeit, einzelne Cookies zuzulassen oder sie zu deaktivieren, erhalten Sie in unserer Datenschutzerklärung.